津田クリニックニキビ跡クレーター治療院長のオートクチュール
ニキビ跡を改善することに特化したレーザー治療
ナースではなく院長自らが照射
こんな方にオススメ
- クレーターはもう治らないと諦めている
使用レーザー・マトリックスとは
古いニキビ跡 (赤みの皮膚の陥没=クレーター) に対して
特殊なエネルギー = ラジオ波 を与えて皮膚の深層(真皮)での
再生を促すことにより陥没を浅くします。
施術間隔は、1ヵ月に1回、4回~8回の治療が必要です。
※治療効果には個人差があります。
施術後数日間、痛み、腫れ、発赤が生じます。
施術後は看護師が丁寧にアフターケアをいたしますのでご安心下さい。
施術後のスキンケアについてもスタッフが丁寧にご説明いたします。
■初回特典■
TSUDA COSMETHICS
皮膚再生プログラムスキンケア療法サンプルセット プレゼント
カウンセリング無料。まずは、お気軽にお電話でご相談ください。
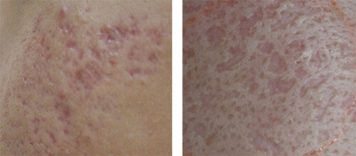
症例写真

治療費
| ニキビ跡クレーター治療 | 治療費(税込) | |
|---|---|---|
| ニキビ跡クレーター治療カウンセリング | 無料 | |
| 内服薬(症状に応じて処方も致します) | ||
| マトリックスレーザー医師施行 治療面積の目安 80㎠ 以下 (片手の手の平サイズ程度) |
初回トライアル | ¥29.700 |
| 単品 | ¥34.100 | |
| 3回コース | ¥95.700 | |
| 4回コース | ¥123.200 |
※治療部位、上記面積を超える場合はご相談ください。
津田クリニックのご予約・お問い合わせ
- 住所 佐賀県佐賀市駅前中央2-2-28 グレイス佐賀駅前セントラル2F
- 診察時間 月曜〜土曜日 10:00〜19:00






